首页
儿童齿科
牙齿美白
牙齿矫正
牙齿种植
舒适洁牙
牙齿贴面
案例分享
真实案例,见证复大口腔的专业实力
前牙美学种植案例
患者因外伤导致前牙缺失,影响美观和功能。我们采用3D导板种植技术,精准植入瑞士ITI种植体,配合全瓷冠修复,完美恢复前牙美观和咀嚼功能。
种植
前牙美学
3D导板
咨询类似案例
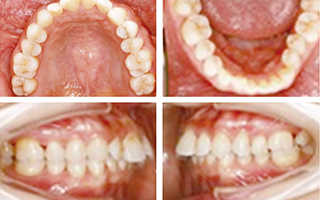
隐形矫正案例
患者牙齿拥挤,影响美观。我们使用美国iTero口扫设备进行数字化设计,采用隐形矫正技术,18个月后牙齿排列整齐,笑容更加自信。
矫正
隐形矫正
数字化
咨询类似案例
儿童龋齿治疗案例
5岁患儿多颗乳牙龋坏,我们采用无痛治疗技术,配合儿童心理疏导,顺利完成治疗。同时指导家长正确的口腔护理方法,预防龋齿再次发生。
儿童齿科
龋齿治疗
无痛治疗
咨询类似案例
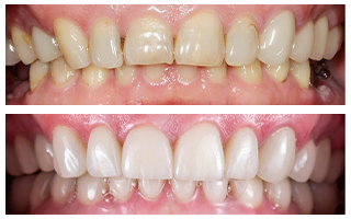
瓷贴面美学修复案例
患者前牙颜色不佳,影响笑容美观。我们采用瓷贴面技术,在不磨牙或少磨牙的情况下,完美改善牙齿颜色和形态,获得自然美观的效果。
美学修复
瓷贴面
微创
咨询类似案例
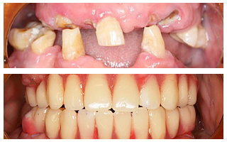
全口种植案例
老年患者全口牙缺失,严重影响咀嚼功能。我们采用All-on-4种植技术,仅用4颗种植体支撑全口义齿,恢复患者正常的咀嚼功能和面部美观。
全口种植
All-on-4
老年患者
咨询类似案例
点击拨打美牙热线
400-662-1190
浙ICP备2021027286号-1
首页
挂号
客服
路线